1. INTRODUCTION
요막관(urachus)은 전복막에 위치하며, 요막(allantois)과 복부 배설강(cloaca)을 연결하고 있는 섬유 조직이다. 요막관은 임신 중기에 요막에서 분리되며, 출생 직후에 완전히 없어져 중앙배꼽인대(median umbilical ligament)로 된다. 일반적으로 태아의 요막관은 재태 4, 5 개월 사이에 내강이 탈각화된 상피(desquamated epithelium)의 축적으로 막히게 되는데 이 과정에 이상이 생기면 요막관이 남아 있는 상태로 태어나게 된다.
요막관 질환은 남성에서 2:1로 우세하게 발생한다고 알려져 있다. 유병률은 조사하는 연령이나 지역에 따라 다양하나 대략 1%이며, 환자의 약 50% 정도에서 개통성을 가지고 있다고 알려져 있다 [1,2]. 증상으로는 혈뇨, 복통, 요정체, 배뇨통 등을 호소할 수 있으며, 요로감염이 비교적 흔하다. 특히 악성 종양과 관련이 있다는 보고가 있기 때문에 적절한 평가를 통해 질환의 정도를 파악할 필요가 있다. 현재까지 발표되고 있는 대부분의 요막관 질환은 소아에서의 증례로 성인에서 보고되는 경우는 매우 드물다. 이에 저자들은 성관계 시 마다 배꼽에서 소변이 나오는 증상으로 내원하여 개방 요막관으로 진단된 성인여성에서의 증례를 경험하였기에 관련 문헌들을 참고로 하여 보고하고자 한다.
2. CASE REPORT
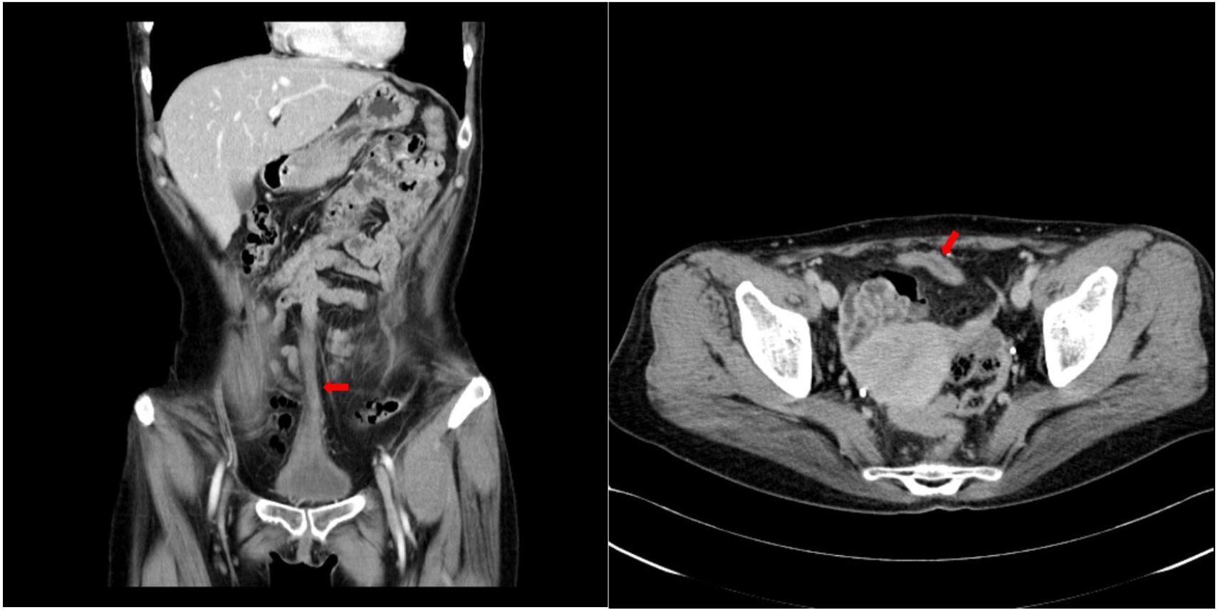
35세 여성이 몇 달 전부터 배꼽에서 소변이 나오는 것을 주 증상으로 내원하였다. 수년 전부터 시작되었다고는 하나 그때는 분비량이 매우 적어 별다른 신경을 쓰지 않고 살아왔으며, 최근 들어서 그 양이 점점 증가하였다고 하였다. 특히 성관계 시에 나오는 양이 상당히 많았으며, 소변을 참거나 배에 힘을 주면 증가한다고 하였다. 배꼽으로 소변이 나오는 것 외에 육안적 혈뇨나 배뇨통 등은동반되지 않았다고 하였다. 미혼 여성으로 출산력은 없었으며 그 밖에 과거력 상 특이사항은 없었다. 신체검사에서 배꼽은 정상적인 모양을 하고 있었으나, 방광경 검사에서 방광 전벽에 개구부가 확인되었으며 [그림 1], 양측 요관구는 정상적인 위치에 있었고, 방광내의 종물 등은 관찰되지 않았다. 내원하여 시행한 요배양 검사에서는 Streptococcus anginosus가 배양되었으며, 요세포 검사에서 이상은 발견되지 않았다. 이후 촬영한 복부 전산화 단층촬영에서 배꼽에서 방광 전벽까지 연결되는 튜브 모양의 구조물이 관찰되어 개방 요막관으로 진단하였으며 [그림 2], 주변으로 석회화나 이상 종괴는 발견되지 않았다. 항생제 경구 복용을 시작하였으며, 수술적인 치료가 계획되었다.
요배양 검사에서 음성을 확인 후 환자는 수술을 위해 입원하였다. 전신마취 하에 바로 누운 자세로 환자를 준비하였고 수술 전 배꼽 안쪽에서 작은 구멍을 찾아 단일루멘 카테터를 넣고 조영제를 주입하여 C-arm에서 개통 부위가 방광과 연결되어 있는 것을 확인하였다 [그림 3]. 파넨슈틸(pfannenstiel) 절개 후 근육층과 근막을 박리하고 중앙배꼽인대 및 두개의 내측배꼽인대를 포함하여 복막까지 절제하였다. 단일루멘카테터를 따라 방광에 연결된 요막관을 박리하였으며, 방광의 접합부는 충분한 여유를 두고 점막절제하였다. 잔존 방광을 봉합사를 사용하여 층과 층을 따라 연속 봉합 후 배액관을 거치하고, 수술을 마무리하였다.
수술 후 별다른 이상 없이 회복하였고, 술 후 3일째 시행한 방광조영검사에서 조영제 누출이 관찰되지 않아, 당일 배액관은 제거하였다. 술 후 7일째 피부 봉합사를 제거하였고, 11일째에 Foley 카테터를 제거하였다. 환자는 배뇨 후 잔뇨가 남거나 배뇨곤란 등의 불편감을 호소하지는 않았다. 최종 병리조직검사에서 이행상피와 편평상피를 가진 개방 요막관(patent urachus with transitional and squamous epithelium)으로 진단되었고, 악성 조직은 발견되지 않았다. 이후 1년간 외래 추적방문에서 특별한 이상은 관찰되지 않았다.
3. DISCUSSION
개방 요막관은 요막관 질환에서도 드물게 발생하는 질환으로 주로 신생아에서 가장 흔하며, 배꼽에서 분비물이 나오거나, 출생 당시 제대가 부풀어 있는 모양으로 대개 발견된다 [3,4,5]. 하지만 성인이 될 때 까지 무증상으로 지내다가 가임기 이후에야 발견되는 경우가 있는데, 임신 초기 배가 부풀면서 갑작스럽게 배꼽에서 소변이 나온 사례나, 피어싱을 하고나서 잔존하던 요막관 게실이 터지면서 방문한 사례가 보고된 바 있다 [6,7]. 개방 요막관의 통로가 유지되더라도 방광내 개구부위가 방광전벽에 있어서 방광이 가득 찬 상태가 아니라면 소변이 나오지 않을 수도 있는데, 본 증례와 같이 성관계 시 마다 배꼽에서 소변이 나오는 증상이 심해지는 것은, 방광에 소변이 차 있는 상태에서 과격하게 아랫배에 힘이 가해져 방광내압이 상승함에 따라 요누출이 심해진 것으로 볼 수 있다.
배꼽에서 소변이 나오는 환자가 방문하면 일차적으로 초음파를 고려해 볼 수 있다. 방광 위 정중선에 복잡한 낭성종괴가 배꼽과 연결되어 있는 형태로 관찰된다면 개방 요막관을 의심해 볼 수 있다. 하지만 방사선에 대한 부담이 적은 성인에서는 Sinography (or fistulography), 전산화단층촬영, 자기공명단층촬영 같은 영상으로 방광과 배꼽이 연결되어 있는 것을 확인하는 것이 더 유용할 수 있다 [1]. 특히 초음파 상에서 고형성분, 석회화된 병변이 발견된다면 적극적으로 CT 촬영을 하여 악성 병변을 감별하는 것이 필요하다 [8,9].
요막관 질환은 omphalocele, 방광요관역류, Prune belly syndrome, Bladder exstrophy 등 선천적 기형과 연관되어 있는 경우가 있기 때문에 진단적인 방광경을 시행해 요도와 방광의 이상을 확인해야 한다. 또한 다른 요로계 이상이 있는지 확인하기 위하여 voiding cystourethrography (VCUG), intravenous pyelography (IVP) 등을 시행할 수 있다. 환자의 배꼽으로 sinography을 시행하여 개방 요막관과 요막관동(urachal sinus)를 감별할 수 있다
모든 개방 요막관 환자가 수술적인 치료가 필요한 것은 아니다. 크기가 작고 유출량이 적다면 보존적인 치료를 먼저 시행한다. 특히 1개월 이내의 영아에서는 자연적으로 막히는 경우가 많아 경과 관찰하는 경우도 있다 [2]. 소아에서 영상으로 악성 종괴가 보이지 않고, 요세포검사 상 악성을 의심할 만한 소견이 나오지 않는다면 정기적으로 병원에 방문하면서 경과관찰을 해볼 수 있다. 하지만 성인에서 요막관 기형이 진단되는 경우는 악성 종양으로 진행되는 경우가 있어 증상과 상관없이 수술적인 절제를 한다. 원인기전으로는 오랜 기간동안 축적된 부유상피와 정체뇨가 만성적으로 감염과 염증을 일으켜 암을 발생시킨다고 알려져 있다. 단일기관에서 요막관질환으로 진단받았던 환자들을 분석하였는데 50%에서 악성종양이 발견되었다는 보고가 있다. 이 연구에서 환자의 나이(55세 이상), 내원 당시 혈뇨가 가장 강력한 예측인자들이었다 [10].
요막관 질환은 성인에서는 매우 드문 질환으로 특히 개방 요막관은 진단과 치료에 대해 아직 명확한 진료 지침이 없다. 초음파가 선별도구가 될 수 있고, 성인에서는 전산화단층촬영, 자기공명영상이 좋은 진단적 도구가 될 수 있다. 염증성 장질환으로 오인되어 외과로 방문하기도 하지만, 증례 에서처럼 배꼽에서 나오는 분비물이 소변인 경우는 비뇨의학과에 우선적으로 의뢰된다. 이 경우, 성인에서는 삶의 질을 개선시키기 위해서 뿐만 아니라 악성 종양의 감별을 위해서도 적극적으로 수술적 절제를 시행해야 한다.




