1. 서론
요로결석은 비교적 흔한 비뇨기 질환 중 하나로 5 mm 미만의 결석은 자연배출률이 약 71-98%에 이르나, 5 mm 이상의 결석은 자연배출률이 50% 이하로 낮아져 체외충격파쇄석술이나 수술적 치료와 같은 중재적 시술을 요하는 경우가 많다 [1]. 그러나 중재적 시술은 비용적인 측면과 잠재적인 합병증 발생 가능성으로 인해 환자 및 의사에게 적지 않은 부담이 되었고, 이러한 단점을 극복하기 위해 약물을 이용한 다양한 보존적 치료법이 시도되어 왔다 [2]. 그 중 대표적인 치료법이 전립선비대증으로 인한 배뇨장애의 대표적 치료 약제인 알파교감신경차단제를 이용한 결석배액요법 (medical expulsive therapy)이며, 지금까지 알파차단제뿐만 아니라 칼슘통로차단제, 코르티코스테로이드, 제5형 포스포디에스테라제 저해제 등을 이용한 치료도 시도되어 왔다 [3]. 이러한 약물을 이용한 결석배액요법과 관련하여 지금까지 많은 임상시험과 메타분석이 이루어졌으나, 연구결과가 상이한 경우가 많아 그 효용성에 대해서는 아직까지 논란이 있다.
약물을 이용한 요로결석의 치료는 결석배액요법뿐만 아니라 결석용해요법에도 시도되고 있는데, 산성뇨를 동반한 요산석 환자에서 소변의 알칼리화를 통한 결석의 용해가 대표적인 치료방법이다. 이와 더불어 재발성 질환인 요로결석의 예방을 목적으로 사용 가능한 약제들도 있어, 이 글에서는 약물을 이용한 요로결석의 치료 및 예방요법에 관해 자세하게 알아보고자 한다.
2. 본론
요로결석의 치료는 결석의 크기, 위치 및 성상에 따라서 다르게 적용되나 현재 국내에서는 다수의 경우 체외충격파쇄석술이나 내시경을 이용한 경요도 또는 경피적 제거술이 보편적으로 시행되고 있다. 그러나 체외충격파쇄석술의 경우 조절되지 않는 출혈소인이 있거나 임산부 또는 치료되지 않은 요로감염이 동반되어 있을 때 시행이 어렵고, 내시경을 이용한 수술의 경우에도 환자의 동반질환 및 해부학적 구조에 따라 시행이 어렵거나 완전한 결석의 제거가 어려운 경우가 있으며, 수술과 관련된 합병증 발생 가능성이 항상 존재한다. 이러한 경우 약물을 이용한 요로결석의 치료를 적절히 활용한다면 중재적 시술과 더불어 결석환자들의 치료 성공률을 높이는 데 도움이 될 것으로 생각한다. 따라서 임상에서 이러한 치료를 상황에 맞게 적용할 수 있도록 경구약물을 이용한 결석의 배액요법 및 용해요법, 그리고 예방법까지 소개해 보고자 한다.
2.1. 경구약물을 이용한 요관결석의 배액요법
결석의 배액요법은 요관의 평활근을 이완시키고 연동운동을 억제하거나 결석주위 요관의 부종을 줄이는 약제를 통하여 요관결석을 배액시키는 치료법으로 지금까지 알파교감신경차단제, 코르티코스테로이드, 칼슘통로차단제, 제5형 포스포디에스테라제 저해제 등이 사용되어 왔다 [4]. 그 중 지금까지 대표적으로 가장 많이 사용되어온 약제인 알파교감신경차단제는 대규모 임상시험 및 메타분석을 통해 효용성이 알려지기도 했지만, 일부 연구에서는 위약과 비교하여 뚜렷한 차이가 없다는 연구결과도 보여주고 있다.
요관결석배액과 관련하여 알파교감신경차단제의 긍정적 효과에 관한 연구는 많이 있으나, 그 중 Campschroer 등이 총 5864명을 대상으로 한 32개의 임상시험 결과를 토대로 메타분석한 연구에 의하면 알파교감신경차단제를 복용한 환자군에서 대조군과 비교하여 결석제거율은 유의하게 높았으며, 통증 발생 빈도 및 진통제 사용량, 입원치료 시행 빈도는 유의하게 낮은 것으로 나타났다 [5]. 알파교감신경차단제의 종류에 따른 결석제거율의 차이에 관해서는 탐수로신, 테라조신, 독사조신 간에는 유의한 차이가 없는 것으로 나타났다 [6]. 알파1D 수용체의 선택적 길항제인 나프토피딜 또한 하부요관결석의 배출을 촉진시키는 것으로 알려져 있으나 다른 알파교감신경차단제와 직접 비교한 연구는 많지 않다 [7]. 실로도신과 탐수로신을 비교한 메타분석 연구에서는 탐수로신을 복용한 군과 비교하여 실로도신을 복용한 군에서 하부요관결석의 배출율이 유의하게 높은 것으로 나타났다 [8].
반면, Pickard 등이 1167명의 환자들을 대상으로 시행한 결석배액요법 임상시험 (SUSPEND trial)에서는 탐수로신 사용군과 위약 사용군 간에 결석 배출율에 유의한 차이가 없는 것으로 나타났으며 [9], 이외에도 여러 연구들에서 알파교감신경차단제 복용군이 위약 복용군과 비교하여 결석배출율에 유의한 차이가 없다는 결과들이 발표되었다 [10,11,12,13]. 그러나 이러한 연구들에 포함된 환자들의 상당수에서 요관결석의 크기가 5 mm 미만인 경우가 많은 점, 일부 연구에서 CT 촬영을 통한 결석배출 유무확인이 이루어지지 않은 점 등의 제한점이 지적되어 왔고 [3], 실제로 5-10 mm 크기의 하부요관결석에서는 알파교감신경차단제 복용군이 위약군과 비교하여 유의하게 높은 결석배출율을 보여 선택적인 상황에서는 알파교감신경차단제를 이용한 요관결석배액요법이 효과적인 것으로 받아들여지고 있다 [14].
알파교감신경차단제 외에도 칼슘통로차단제인 니페디핀을 이용한 결석배액요법에 관한 연구도 많이 시행되었다. Seitz 등이 칼슘통로차단제를 이용한 결석배액요법과 관련하여 686명의 환자를 대상으로 한 9건의 연구를 체계적 문헌 고찰한 결과 대조군과 비교하여 칼슘통로차단제를 복용한 군에서 높은 결석배출률을 보였다 [15]. 그러나 칼슘통로차단제와 알파교감신경차단제 간의 비교 연구에서는 알파교감신경차단제가 결석배출에 좀 더 효과적인 것으로 나타났다 [15,16].
코르티코스테로이드와 결석배액요법과 관련해서는 코르티코스테로이드 단독 또는 알파교감신경차단제 및 칼슘통로차단제와 복합요법을 시행한 연구가 있다. Porpiglia 등이 하부요관결석 환자를 대상으로 코르티코스테로이드 단독 또는 알파교감신경차단제와 복합요법을 시행한 연구에서 코르티코스테로이드 단독 복용시에는 대조군과 비교하여 결석배출률에 유의한 차이가 없고, 알파교감신경차단제와 함께 복용시에만 결석배출에 효과가 있음을 보여주었다 [17]. 칼슘통로차단제와의 복합요법에 관해서도 연구가 이루어졌는데, Saita 등은 니페디핀과 프레드니솔론을 함께 복용시 요관결석의 배출률이 향상되었다고 보고 하였다 [18].
발기부전치료제로 잘 알려져 있는 제5형 포스포디에스테라제 저해제도 요관평활근의 이완효과가 알려지면서 결석배액요법에 적용하려는 시도가 있어왔다. Montes Cardona 등은 580명의 환자를 대상으로 한 4건의 연구를 메타분석한 연구에서 하부요관결석의 경우 대조군과 비교하여 제5형 포스포디에스테라제 저해제 복용군이 결석배출률 및 결석배출까지의 시간이 우수하였다고 하였으나, 아직까지 충분한 연구 결과가 확보되지 않아 양질의 임상시험이 필요할 것으로 생각된다 [19].
그 밖의 결석배액요법과 관련한 약제 중 과민성방광의 대표적 치료제인 미라베그론을 이용한 최근의 연구에서 미라베그론을 복용한 하부요관결석 환자에서 결석배출률 (73.5% vs 47.1%) 및 통증발생 빈도 (1.02 vs 1.29)가 유의하게 우수한 것으로 나타났다 [1].
이러한 연구결과를 토대로 유럽비뇨기과학회 진료지침에서는 5 mm 이상의 하부요관결석의 경우 알파교감신경차단제를 활용한 결석배액요법을 추천하고 있으며, 제5형 포스포디에스테라제 저해제 및 코르티코스테로이드에 관해서는 단독요법 및 알파교감신경차단제와의 복합요법에 관해서 아직까지 그 효능성에 관한 충분한 근거가 확보되지 않았다고 발표하였다 [20]. 미국 및 캐나다 비뇨기과학회 진료지침에서는 10 mm 미만의 하부요관결석에 대해 알파교감신경차단제를 이용한 결석배액요법을 권고하고 있으며 [21,22], 영국의 국립보건임상우수연구소는 10 mm 미만의 하부요관결석을 동반한 성인 및 소아환자에서 알파교감신경차단제 사용을 고려할 수 있다고 제시하였다 [23].
2.2. 경구약물을 이용한 요로결석의 용해요법
앞서 살펴보았던 약물을 이용한 결석배액요법으로 배출 가능한 요관결석이나 자연배출이 가능한 5 mm 미만의 결석을 제외한 대부분의 요로결석은 체외충격파쇄석술 또는 수술적 치료와 같은 중재적 시술을 필요로 하는 경우가 많다. 그러나 연령이나 기저질환 등과 같은 환자의 상태에 따라 중재적 시술을 적용하기 어려운 경우도 있다. 요로결석의 성분 중 옥살산칼슘석이 가장 많은 비중을 차지하고 있으나 요산석도 약 10-20% 정도의 비율로 발생하는 것으로 알려져 있으며 [24], 요산석의 경우 소변의 산성도 (pH)를 상승시키는 것이 결석의 용해 및 예방에 효과가 있음이 보고되어 왔다 [25,26].
경구약물을 이용한 요산석의 용해요법은 1933년 Violle에 의해 처음으로 시도된 이후 몇 가지 투약방식 및 용량에 관한 프로토콜이 제안되었으나, 2000년대까지 양질의 임상연구가 충분히 시행되지 않았고, 체외충격파쇄석술 및 내시경수술 등과 같은 최소침습적 중재적 치료법이 발전하면서 활발히 시행되지 못하였다 [26]. 그러나 최근 요산석 발생률의 증가와 중재적 시술로 인한 합병증 발생에 대한 우려가 발생하면서 경구약물을 이용한 요로결석의 용해요법에 대한 관심이 증가하고 관련 연구도 활발히 시행되고 있다 [25,26,27,28,29,30].
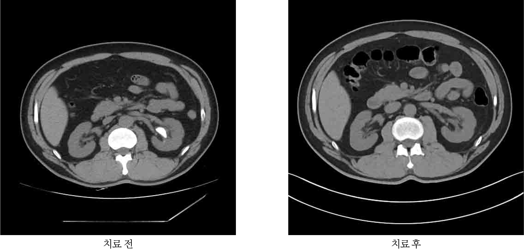
경구약물을 이용한 결석의 용해요법 [그림 1]은 주로 국내에서도 사용가능한 구연산칼륨 (potassium citrate, Urocitra®) 제제나 탄산수소나트륨 (sodium bicarbonate, Tasna®) 제제를 이용하여 시행되며, 구연산칼륨이 소변에 좀 더 높은 농도로 용해되어 우선적으로 추천되나 고칼륨혈증 등의 부작용이 발생할 수 있어, 만성신병증 등 고위험군 환자나 약물 복용 후 고칼륨혈증이 발생한 환자에서는 대안으로 탄산수소나트륨 제제가 추천된다 [4]. 경구약물을 이용한 결석 용해요법의 성공률은 지금까지 약 50-73%에 이르는 것으로 보고되었으며, 요산석으로 의심되는 낮은 요 pH (<6.0) 및 CT 상 Hounsfield units이 450 미만인 방사선투과성 결석의 경우에 시행하는 것이 추천된다 [26]. 약물복용 기간 중에는 요중 pH 및 혈중 칼륨 레벨에 대한 모니터링이 필요하며, 요 중 pH는 6.5-7.0 사이를 유지하는 것이 권고된다 [26].
2.3. 요로결석 예방을 위한 약물요법
재발성 질환이며, 재발률이 30-50%에 이르는 요로결석은 치료뿐만 아니라 예방 또한 중요하다. 요로결석이 처음 발생하였고, 결석의 저위험군에 해당하는 환자의 경우에는 충분한 수분섭취 및 염분제한 등의 일반적인 식이요법이 권유되나, 요로결석의 잦은 재발 또는 고위험군 환자의 경우에는 대사검사 및 상황에 맞는 약물요법이 권유된다. 그 중 임상에서 흔히 발생하는 결석의 경우에 사용 가능한 약제 및 국내에서 사용 가능한 약제를 중심으로 요로결석 예방을 위한 약물요법에 대해 살펴보고자 한다.
요로결석의 예방을 위한 약물요법은 결석의 성분 및 대사검사 결과에 따라 달리 적용된다. 따라서 결석의 고위험군 환자에서는 결석을 제거하기 위한 1차 치료 후 성분분석 및 대사검사 결과를 시행하는 것이 필요하며 24시간 요 검사를 포함한 대사검사는 결석이 완전히 제거되고 나서 약 1개월 후에 시행하는 것이 권고된다 [20].
가장 흔한 결석의 성분인 옥살산칼슘석의 경우 고칼슘뇨증이 흔히 동반되는데, 고칼슘뇨증을 동반한 옥살산칼슘석 환자에서는 결석의 예방을 위해 구연산칼륨과 싸이아자이드 (thiazide, Dichlozid®)를 사용할 수 있다. 앞서 결석의 용해요법에서 언급한 것처럼 고칼륨혈증이 동반되었거나 발생할 위험이 높은 환자의 경우에는 구연산칼륨 대신 탄산수소나트륨을 사용할 수 있다.
요산석은 다른 성분의 결석에 비해 높은 재발율을 보이며, 국내에서 특히 높은 비율로 발생하는 것으로 보고되었다 [31,32]. 요산석의 예방을 위한 약물요법은 요산의 요중 용해도를 높일 수 있는 약물을 통하여 요 pH를 증가시키는 치료와 고요산뇨증을 감소시키는 치료로 구별할 수 있다. 따라서 요산석 환자에서 낮은 요 pH를 개선시키기 위하여 구연산칼륨 또는 탄산수소나트륨을 사용하여 요알칼리화를 시켜주는 것이 중요한 예방요법이 되며, 요 pH는 6.5-7.0 정도가 유지되도록 하는 것이 좋다. 만약 요 pH가 7.5 이상이 되면 인산화칼슘석 또는 감염석의 발생 위험이 증가한다 [4]. 고요산뇨증이 동반된 경우에는 알로푸리놀 (allopurinol)을 사용하여 대사이상 개선 및 결석의 재발률을 감소시킬 수 있다 [4].
3. 결론
요로결석 환자에서 약물요법은 환자의 통증을 줄이고 결석의 자연배출 유도를 촉진시키며 중재적 시술이 어려운 선택적인 환자에서 용해요법으로 활용하기 위한 치료목적과 요로결석의 재발률을 줄이기 위한 예방적 측면에서 중요한 역할을 차지한다고 볼 수 있다. 그러나 아직까지 이를 뒷받침할 수 있는 충분한 임상연구 자료가 확보되지 않았다는 점에서 실제 임상에서 환자에게 약물요법을 적용할 때는 임상의사의 판단 하에 환자 및 결석의 상태에 따라 선택적 시행이 필요할 것으로 생각된다. 앞서 언급된 선행 연구결과들 및 지금까지의 진료지침에 따라 약물요법을 적절히 활용한다면 즉각적인 중재적 시술이 어려운 일부 요로결석 환자들에게서 효과적인 치료 대안을 제시할 수 있을 것으로 생각하며, 중재적 시술 후 잔석의 치료 및 재발성 요로결석 환자의 예방에도 많은 도움을 줄 수 있을 것이다.


