1. 서론
2. 증례
2.1. 신장 및 부신 방광 초음파
2.2. 소변 및 배양검사, 요세포검사
2.3. 요류측정검사
2.4. 방광 내시경
2.5. 복부 및 흉부 CT
2.6. 경요도 방광 종양 절제술
2.7. 병리검사
2.8. 수술 후 경과
3. 고찰
1. 서론
황색육아종성 방광염은 비특이적인 하부요로 증상을 유발하는 염증질환이다 [1]. 이는 원인이 불분명하고 양성 방광 질환으로 방광암과 유사한 형태를 보이기 때문에 조직학적 평가가 진단에 매우 중요하다. 황색육아종성 염증변화는 다른 장기에 비해 방광에서의 보고는 극히 드물며 현재까지 전세계적으로 40 건 미만의 사례 보고가 있다 [2]. 본 저자들은 하부요로증상 및 혈뇨로 내원하여 수술 및 병리 검사로 확인된 황색육아종성 방광염 환자의 방사선학적, 병리학적 소견을 고찰하고자 한다.
2. 증례
70세 여성환자가 수개월간 간헐적인 혈뇨 및 배뇨불편감으로 내원하였다. 수차례 방광염 소견으로 진단받고 항생제 복용을 지속하였으며 이후 호전과 악화를 반복하였다. 과거력상 당뇨병이나 고혈압은 없었으며 유방암 수술을 받은 기왕력이 있었다. 혈뇨는 간헐적으로 심하게 지속되었으며 소변이 이전과 다르게 약하고 빈뇨가 심하며 잘 참지 못하는 절박뇨 소견도 함께 동반되었다. OABSS(과민성방광 설문지) 점수는 7점으로 중등도에 해당하였다. 육안적 혈뇨 및 배뇨장애의 원인을 파악하기 위하여 방광을 채운 후 신장 및 부신 방광 초음파를 시행하기로 하였으며 이후 요류측정검사 및 소변검사도 진행하기로 하였다.
2.1. 신장 및 부신 방광 초음파
양측 신장의 장축의 길이는 10 cm으로 정상 신장이었으며 방광은 방광목 및 삼각대, 양 측벽, 전벽 등에 다발성 결절(multiple solid mass lesions)이 확인되었다. 결절은 주변과 경계가 분명하지 않았으며 내부에 석회화된 병변은 동반되지 않았다. 색도플러 초음파에서 병변내 혈류는 확인되지 않았다.
이후 요속검사를 시행한 후 좀 더 명확한 검사를 위해 요도 및 방광 내시경을 시행하기로 하였다.
2.2. 소변 및 배양검사, 요세포검사
소변검사에서 RBC 10-15개/HPF, WBC 20-25개/HPF 소견으로 농뇨 및 혈뇨 소견으로 판단되었으며, 이후 확인된 배양검사에서 대장균, Escherichia coli More than x105 CFU/ml 확인(항생제 감수성 검사: cefazolin Resistance)되었다. 요세포 검사는 정상 소견이었다.
2.3. 요류측정검사
요류측정검사시 배뇨량 86 cc, 최고요속 11 ml/sec, 잔뇨 80 cc(초음파 측정)로 배뇨량은 적었으나 요속이 낮고 잔뇨가 높게 측정이 되었다. 배뇨 후 문진에서 환자는 평소와 비슷한 양과 세기의 배뇨상태라고 하였다.
2.4. 방광 내시경
요도 및 요도 점막은 정상 소견이었으며 소변은 탁하여 시야가 좋지 않았다. 방광목, 방광의 양측벽, 삼각부, 후벽 및 전벽 등에 여러 개의 고형 종괴가 관찰되었다. 이는 일반적으로 보이는 방광암 소견(papillary or solid mass)과는 다르게 보였으며 염증성 병변으로 보이는 부분도 있었다. 초음파에서 확인한 바대로 종양의 크기는 0.5 cm에서 방광목을 가리고 있는 2 cm의 mass까지 다양하였으며 약 20개 이상의 병변이 있었다. 방광목을 가리는 큰 종괴가 주로 환자의 배뇨장애를 유발하는 것으로 판단되었다.
2.5. 복부 및 흉부 CT
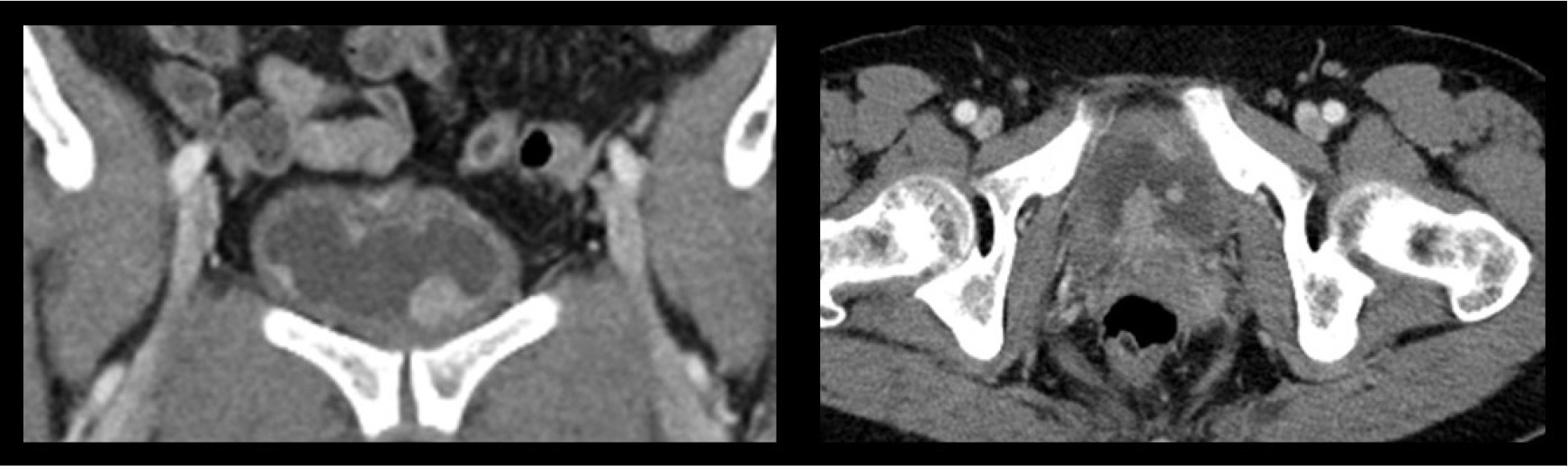
전산화 단층촬영에서 방광벽에 여러 개의 조영 증강이 있는 결절이 있었다. 결절이 있는 부분의조영이 증강되었으며, 이 병변 주위는 다소 국소적으로 두꺼워져 있었다. 방광암이 의심되는 소견이며 복강내 비정상 임프절 비대 및 체액저류(fluid collection)은 없었다. 흉부CT에서 좌하엽(left lower lobe)의 posterior basal segment에 약 9 mm 크기의 폐결절(pulmonary nodule)이 관찰되었다.
▶ 방광경으로 시행한 조직검사(cold cup biopsy)에서 황색육아종성 방광염(xanthogranulomatous cystitis)의 가능성이 높다는 소견이었다. 양성 종양으로 판단되고 확진을 위해 환자와 상의하여 경요도 방광 종양 절제술을 시행하기로 하였다.
2.6. 경요도 방광 종양 절제술
충분히 경험적 항생제를 투여하여 균이 음전 된 것을 확인한 후 경요도방광종양절제술을 시행하였다. 종물은 granuloma 양상을 띄고 있었다. 방광을 2/3 정도 충만시킨 상태에서 절제술을 시행하였으며 이후 방광의 천공이나 요관입구의 손상이 없음을 확인하였다. 도뇨관은 2일간 삽입하였다.
2.7. 병리검사
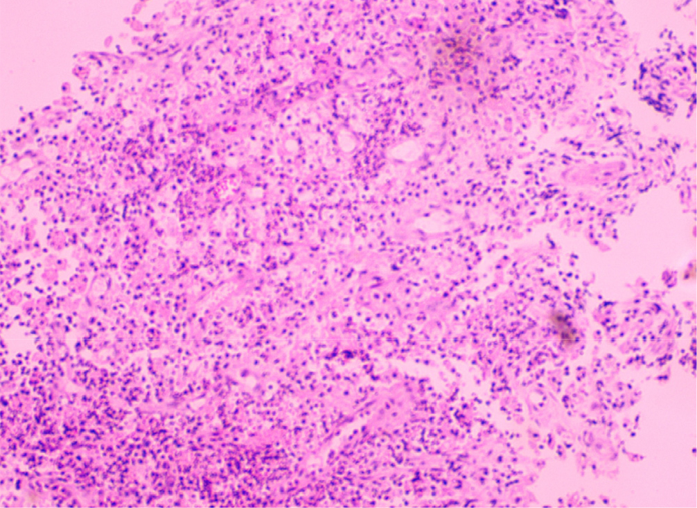
종괴는 황색종 세포와 만성 염증세포가 뒤섞여 있는 황색육아종성 방광염으로 확인되었다. 지질 함유 대식세포(lipid-laden macrophage)가 광범위하고 치밀하게 모여 있었고, 그 외에 육아 조직 (granulation tissue), 다핵 거대 세포 (multinucleated giant cell), 림프구의 집합(discrete collection of lymphocytes), 혈관 충혈(vascular engorgement) 및 약간의 출혈이 동반되었다. 간질에 분포하는 염증세포는 림프구, 혈장 세포, 호중구로 이루어져 있었다.
2.8. 수술 후 경과
수술 후에도 간헐적으로 지속되는 방광염을 치료하기 위해 약 3회간 항생제처방을 하였으며 약 2개월간 방광염이 호전과 재발을 반복하였다. 소변배양 검사 결과에서 대장균이 원인균이었으며 다약제 내성은 아니었다. 요류측정 결과 최대 요속이 증가되었고 잔뇨가 줄었다. 수술후 OABSS는 2점으로 빈뇨, 절박뇨도 상당히 호전되었다. 수술 후 3개월째 시행한 흉부 및 복부 CT에서 이전 방광 내 결절은 모두 소실되었으며 재발소견은 없었다. 흉부 CT 에서 확인된 고립성 흉부결절은 크기 변화가 없었으며 양성결절로 판단되어 경과 관찰하기로 하였다.
3. 고찰
황색육아종성 병변은 주로 큰 지질을 함유하는 대식세포의 침착을 주 소견으로 하는 만성염증의 과정에 드문 형태이다 [2]. 그러나 그 원인은 아직 불확실한데 만성 요로감염, 지질 대사변화, 자가면역 기전, 원발 종양 또는 이물질로 인해서 발생, 요관막 잔존물등에서 발생하는 등의 여러 가지 이론이 제시되었다 [3,4].
거의 대부분의 사례는 방광의 돔(dome)과 관련이 있으며 약 70%는 요막 이상과 관련이 있고, 전벽, 후벽, 측벽의 침범은 드물었다 [5]. 본 증례는 방광의 돔 뿐만 아니라 전벽, 측벽 및 방광목까지 분포되어 있는 염증성 병변이 있었던 사례이다. 방광의 근육층까지 염증성 병변의 침윤은 없었고, 병변은 단단하지 않고 전기 소작시 잘 제거되며 약 3개월 추적관찰시까지 재발은 없었다.
2001년 국내 보고된 두 가지 증례 등등을 보면 황색육아종성방광염 환자들은 빈뇨 잔뇨감 등의 하부요로증상 및 치골상부 동통을 동반한 것을 보면 본 증례와 유사한 배뇨장애를 동반한 것으로 판단된다 [6].
황색육아종성방광염의 치료는 대부분 보고된 바에 의하면 방광 종괴의 단순절제, 경요도방광종양절제술 또는 부분 및 근치방광절제술이 도움이 된다 [7,8]. 또한 수술 후 광범위한 항생제를 지속적으로 시행하는 경우가 있었다 [4,8]. 본 증례의 환자는 지속되는 배뇨장애 증상 및 방광염이 경요도 방광종양 절제술 후 호전됨을 경험할 수 있었다. 그러나 수술 후에도 간헐적으로 지속되는 방광염을 치료하기 위해 여러 차례 항생제 치료를 하였으며 2개월 정도 시간이 경과한 후에는 방광염의 재발은 없었다.
본 증례는 비뇨의학과 의사로서 평생 한번 경험할지 모르는 상당히 드문 예이다. 그러나 1차 진료의 특히 비뇨의학과 전문의에게 여러 가지를 시사한다. 방광염 및 하부 요로 증상으로 환자가 내원하였을 때 소변검사만 시행 후 약 처방만 하는 경우가 빈번하다. 특히 방광염의 경우 흔히 혈뇨를 동반할 수 있기 때문에 방광을 포함한 요로계의 다른 원인을 간과하기 쉽다. 이 환자의 경우에도 방광염으로 혈뇨가 있고 배뇨장애가 있을 수 있다고 하여 검사를 게을리 하였다면 방광염은 일시적으로 좋아졌을 것이고 방광 내 병변을 놓칠 수 있었다. 재발성 방광염 및 배뇨장애에 다른 원인이 조금이라도 의심된다면 방광 초음파를 적극적으로 시행하는 것이 중요하다.







