1. 서론
유럽 및 미국 등의 비뇨의학회 최신 국제 요로결석 진료지침에 따르면 체외충격파쇄석술은 1cm 이하의 하부요관결석에 대해 안전하고 성공적인 치료 옵션 중 하나다 [1,2]. 1980년대 초 Chaussy 등으로부터 최초 임상 적용의 성공적인 사례가 발표된 후 체외충격파쇄석술은 요로결석 치료 분야에서 매우 혁신적인 변화를 가져왔고, 이후 30년이 넘게 유일한 비침습적인 요로결석 시술 방법으로 널리 사용하게 되었다 [3]. 체외충격파쇄석술의 성공율은 57-82%로 연구에 따라 다양하게 보고되고 있는데 [1], 체외충격파쇄석술은 입원과 전신 마취의 필요가 없는 최소 침습적 시술이라는 매우 큰 장점이 있고, 심각한 부작용이 나타날 위험이 높지 않기 때문에, 실제 임상 진료에서 하부요관결석 치료에 보다 선호되고 널리 적용되고 있다.
체외충격파쇄석술의 기본 메커니즘은 요로결석의 분쇄를 위해 특정 위치에 집중될 수 있는 음향파를 생성하여 효과적으로 전달하는 것이다 [4]. 그러나 하부요관결석을 가진 환자의 경우 누운 자세에서는 골반뼈의 구조가 충격파의 효과적인 전달을 방해하여 체외충격파쇄석술의 효능을 감소시킬 수 있다. 이런 해부학적인 구조는 전통적으로 하부요관결석 치료에 체외충격파쇄석술의 사용을 제한해 왔다고 할 수 있다.
하부요관결석에 대해 골반뼈의 부정적인 영향을 줄이기 위해 전복벽을 통해 충격파를 직접 전달하는 방법이 1980년대 후반 Jenkins와 Gillenwater 등에 의해 처음 제안되었다 [5]. 대부분의 체외충격파 기기에서는 테이블 아래에 충격파 발생기가 있기 때문에, 복와위(prone position) 접근법을 사용하게 되었고, 이후 복와위 체외충격파쇄석술의 안전성과 효능은 여러 연구에서 확립되어 현재까지 널리 사용되고 있다. 그러나 이렇게 엎드린 자세에서 체외충격파쇄석술을 수행하는 데는 환자의 흡기 및 호기 불편, 복강 내압 증가, 폐활량 감소, 그리고 특히 비만 환자에서 피부와 결석 사이의 거리 증가, 장내 가스로 인한 충격파 감쇄 가능성 등의 여러가지 단점이 있다 [6]. 뿐만 아니라, 장천공 같은 심각한 부작용을 유발할 위험도 높게된다 [7].
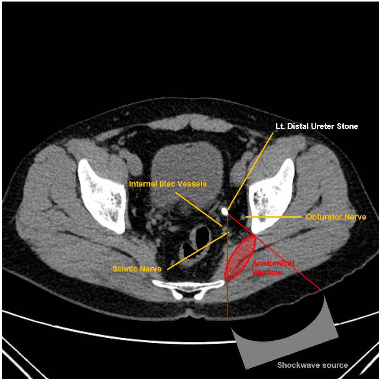
기술의 지속적인 발전과 경험의 축적으로 충격파가 대좌골공(greater sciatic foramen) 및 소좌골공(lesser sciatic foramen)과 같은 골반뼈의 틈을 통해 하부요관결석에 도달하여 결석을 파쇄 할 수 있다는 연구결과들이 최근 보고되고 있다 [그림 1]. 여러 연구 결과들에 따르면, 앙와위(supine position)에서 충격파는 대둔근(gluteus maximus muscle)을 따라 대좌골공을 통해 전달되어 골반뼈를 피할 수 있고, 장내 가스로 인한 충격파 감쇄 효과를 최소화할 수 있어, 복와위 보다 더 효과적이고 안전하다고 알려지고 있다.
주변 조직의 손상을 최소화하면서 결석의 파편화를 최적화하고, 쇄석 성공율을 개선하기 위해 다양한 기술이 개발 및 도입되었다. 이러한 기술적인 측면에는 올바른 환자의 선택, coupling의 최적화, 시술 중 환자의 호흡과 자세, 그리고 충격파 에너지의 단계적 증량, 충격파 횟수, 빈도 등이 포함되고, 또한 약물 요법이나 운동 등의 시술 후 관리 방법도 영향을 미칠 수 있다. 이런 성공적인 체외충격파쇄석술을 위한 여러가지 제안에 대해서는 본지의 통권 2호에서 “성공적인 체외충격파 쇄석술을 위한 제언”으로 상세히 소개된 바 있다.
쇄석 기술의 놀라운 발전에도 불구하고 하부요관결석의 최적의 시술법에 대해서는 아직 논란이 계속되고 있다. 이 글에서는 효율적인 체외충격파쇄석술에 영향을 주는 인자들 중 환자의 자세가 미치는 영향에 대해, 국내외 연구결과들을 기반으로 좀더 자세하게 알아보고자 한다.
2. 본론
결석을 조준할 때에는 결석의 위치와 환자의 특성, 그리고 쇄석기의 종류에 따라 환자의 자세를 적절히 조절하여 최적의 충격파 경로를 선택하여야 한다. 하부요관결석의 경우 골반뼈의 골격구조가 충격파의 경로를 방해할 수 있어, 전통적으로 복와위를 선호하고 있다. 하지만 복부 방향에서 충격파를 전달하는 경우 장내 가스로 인해 충격파 에너지의 상당 부분이 소멸될 수 있고, 장천공의 위험이 있다. 그 외 수정된 복와위 자세(modified prone position)나 말타는 자세로 시행하는 방법(straddle or horse-riding position) 등을 제안하여 보다 높은 성공율을 보고하기도 하였다 [9,10]. 최근에는 앙와위에서 대둔근을 따라 대좌골공을 통한 경둔근 접근법(trans-gluteal approach)이 충격파 전달에 더욱 효과적이고 안전하다는 연구결과들이 있어, 그 장점에 대해 소개해 보고자 한다.
2.1. 경둔근 접근법의 장점
2.1.1. 충격파의 효과적인 전달
진행 중인 충격파가 다른 매질의 매체를 만나면 파동의 일부가 원래 매체를 통해 다시 반사된다. [11] 반사파의 강도는 두 매체 간의 임피던스(impedance) 차이에 따라 달라지는데 [18], 물에서 조직으로의 전달은 충격파 에너지의 75-95%로 효율적이고, 물에서 결석으로의 전달도 상대적으로 높다 [11]. 그러나 물과 공기의 임피던스 불일치는 매우 높아, 이론적으로는 수중 충격파의 99.9%는 반사되고, 0.1% 미만이 공기 중으로 전달된다.
누운 자세에서 대좌골공을 통해 몸으로 들어가는 충격파는 균질한 근육 조직을 가로 질러 간섭 없이 결석에 도달할 수 있다. 물과 인체 사이의 음향 임피던스의 유사성은 최소한의 에너지 손실로 결석에 충격파를 전달할 수 있게 하여 좀더 효율적인 분쇄를 돕는다. Göktaş 등의 연구에 따르면 이 경우 충격파의 단지 20%만이 감쇄된다고 보고하였다 [7]. 하지만, 복와위 자세에서는 공기가 채워진 장을 통과하면서, 충격파 진폭의 대부분이 감쇄하는 것으로 알려져 있다. 따라서 복와위 자세에서 완전한 결석의 분쇄를 위해서는 더 높은 전압과 더 많은 수의 충격파 및 치료 세션이 필요하다. 실제 Choo 등이 시행한 전향적 단일맹검 무작위배정 임상연구에서도 환자 당 평균 치료 세션 수, 세션 당 평균 충격파 수 및 세션 당 평균 충격 전압 등에서 복와위 환자군과 비교해 앙와위를 통한 경둔근 접근법 환자군에서 통계적으로 유의미한 감소를 보였다 [12].
2.1.2. 높은 만족도
체외충격파 시술 중 앙와위 자세를 통한 경둔근 접근법 환자군에서 보다 높은 만족도를 보고하였다. 앙와위로 시술을 받은 환자들 중 85%에서 총 5점 만점 중 4점 이상의 매우 높은 만족도를 보이는 것으로 조사되었다 [12]. 앙와위로 시행한 환자들 중 83.6%에서 비슷한 상황에서 같은 방식으로 반복할 의향이 있다고 응답하였고, 다른 사람에게 적극 추천할 의사를 표현한 환자들도 80.3%로 조사되었다.
반면, 복와위 자세는 복강내 압력을 증가시켜 환자에게 불편감을 유발하고, 흉곽의 움직임을 제한하여 총 폐활량을 감소시킬 수 있다 [13]. 이와 함께, 감소된 심장 박출량은 보상성 교감성 빈맥을 초래할 수 있다 [14]. 특히나 이런 엎드린 자세는 취약한 노인에게 더욱 큰 불편감을 일으키게된다. 또한 엎드린 자세는 방광에 소변이 저장될 경우 앙와위 보다 요의를 더욱 강하게 느끼게 되고, 이 또한 체외충격패쇄석술의 결과에 영향을 미칠 수 있다 [15].
2.1.3. 안전성
경둔근 접근법을 통한 충격파의 전달 경로에는 장이 포함되지 않는다. 따라서 체외충격파쇄석술의 가장 심각한 합병증 중 하나인 장천공의 발생 가능성이 매우 낮다. 장천공 등의 위장관 합병증은 체외충격파쇄석술에서 약 1.8%에서 발생하는 것으로 알려져 있고, 거의 모든 사례는 경복부 접근을 사용한 복와위 자세에서 보고되었다 [14].
앙와위를 이용한 경둔근 접근법의 가장 우려되는 합병증은 좌골신경 손상이다. 하지만 Choo 등의 연구에서는 참여한 환자들 중 좌골 신경 손상의 전형적인 증상인 하지의 쇠약이나 저림, 무감각 또는 발처짐 등을 호소한 환자는 없었다 [12]. 다른 연구에 따르면 충격파를 전달하는 각도가 중요하여, 환자가 통증을 호소할 때 치료 각도를 조금 조정하면 좌골 신경 손상의 위험을 완화할 수 있다고 보고하였다 [16], [그림 2].
시술 중 환자가 느끼는 통증의 강도는 연구에 따라 조금씩 다르게 보고되었다. Choo 등은 경둔근 접근법에서 환자가 느끼는 통증의 강도가 더 높은 것으로 보고하였고, 균질한 근육 조직을 통한 적은 감쇄로 인한 결과로 설명하였다 [12]. 하지만, Istanbulluoglu 등은 경둔근 접근법에서 오히려 더 적은 통증을 호소하였다고 보고하였고, 이로 인해 더 높은 에너지와 더 많은 충격파를 전달하여 더 높은 성공율을 보일 수 있었다고 설명하였다 [17].
2.1.4. 짧은 피부-결석 거리
피부-결석 거리(skin-to-stone distance)는 체외충격파쇄석술의 성공율에 영향을 미치는 중요한 인자 중 하나로, 하부요관결석에서 피부-결석 거리는 앙와위에서 더 짧다는 보고들이 있는데 [6,16], 피부-결석 거리가 짧을수록 충격파가 전달되는 거리도 짧아져 보다 효과적인 에너지 전달이 가능해진다. 체지방의 분포는 성별과 인종, 그리고 비만도에 따라 달라진다고 알려져 있고, 복부의 지방 비율은 동양인에서 다른 인종에 비해 보다 높게 나타나는 경향이 있다 [18]. 따라서 비만도가 높은 남성 환자일수록 앙와위에서 피부-결석 거리가 상대적으로 짧을 수 있어, 경둔근 접근법에서 보다 유리할 수 있다. 하지만, 한국인을 대상으로 한 Choo 등의 연구에서는 서양인을 대상으로 한 연구에 비해 비만도가 매우 낮았고(평균 BMI 24.6), 이로 인해 복와위와 앙와위 간 피부-결석 거리의 유의한 차이는 발견되지 않았다 [12].
2.1.5. 직관적인 조작
또다른 장점은 앙와위에서는 투시기의 유도시에 보다 익숙한 영상이미지로 결석을 조준할 수 있다 [15]. 복와위에서는 좌우가 반대되는 영상에서 평소에 익숙하지 않은 해부학적 구조 하에 결석을 조준하게 된다. 따라서 시술자는 앙와위에서 조준할 때, 보다 직관적이고 신속한 조작을 시행할 수 있다.
2.1.6. 높은 시술 성공율
앙와위에서 경둔근 접근법의 가장 큰 장점은 위에서 언급한 이유들로 인해 시술의 성공율이 높아진다는 것이다 [6,12,15,16,17].
2.2. 경둔근 접근법의 시행 방법
경둔근 접근법으로 치료를 받은 환자는 앙와위로 누운 상태에서, 충격파 발전기는 수직축에 대해 40° 각도로 고정한 후 환자의 엉덩이에 밀착시켜 체외충격파 치료를 받는다. 머리와 다리는 환자의 편안함을 위해 베개로 받쳐 준다 [12], [그림 3].
자세 외 다른 기술적인 방법은 복와위 체외충격파쇄석술과 같다. 본지의 “성공적인 체외충격파 쇄석술을 위한 제언”에 소개된 바있는 충격파 에너지의 단계적 증량법(램핑기법, ramping)을 적용하고, 증량 사이에 휴지기를 주는 것이 좋다. 또한 충격파 횟수는 미국 식품의약품안전처(FDA)에서 권고하고 있는 4000회 미만으로 시행하는 것을 추천한다. 4000회에 가까워지거나 이를 초과할 경우 출혈이나 장천공 등의 심각한 합병증 발생율이 증가하는 것으로 보고되고 있다. 충격파의 빈도는 일반적으로 60-90회/분이 120회/분 보다 더 효과적인 것으로 알려져 있다.
2.3. 경둔근 접근법의 효용성
2.3.1. 시술 성공율(Stone-free rate)
3개의 연구에서 305명 환자들의 시술 결과를 메타분석한 연구 결과에 따르면, 1회 체외충격파쇄석술 후 성공율은 앙와위에서 77.2%, 복와위에서 44.8%로 의미 있는 차이를 보였다 [19]. 최종적인 시술 성공율에서도 앙와위 89.6%, 복와위 72.7%로 앙와위 체외충격파쇄석술에서 의미 있게 높은 성공율을 보고하였다. 최종 체외충격파쇄석술의 횟수는 두 군간 차이는 없었고, 평균 2회, 최대 4회까지 실시한 것으로 조사되었다.
한국인을 대상으로 한 무작위 연구에서는 첫번째 시술에서의 성공율은 경둔근 접근법에서 76.7%, 복와위에서 58.7%로 보고되었고, 3회 시행 후에는 94.5%와 93.3%로 각각 보고되었다 [12].
2.3.2. 시술 후 합병증
메타분석 연구에서 합병증에 대해서는 데이터 간 이질성이 높아, 메타분석을 시행하지 못하였고, 개별 연구의 합병증에 대해 보고하였다. Guntekin 등의 연구에서는 59명의 앙와위 환자들에서 대부분의 경우 일시적인 혈뇨와 피부의 작은 홍반 변병을 호소하였다 [20]. 6명의 환자에서는 산통(colic pain)을 호소하였고, 3명의 환자에서 요로 감염에 의한 2차적인 발열을 호소하였다 [20]. Istanbulluoglu 등의 연구에서는 거의 모든 환자에서 초기 혈뇨와 피부의 점상 출혈(petechiae) 등을 호소하였다 [17]. 그 외 중대하거나 심각한 합병증이 발생한 환자는 없었다 [17,20].
한국인 대상의 연구에서도 좌골신경 손상이나 심각한 부작용은 없었고, 시술 직후 일시적인 혈뇨는 92.6%의 환자들에서 호소하였으나, 모두 특별한 치료 없이 호전되었다.
체외충격파쇄석술 후 9건의 장천공을 보고한 리뷰 논문이 있는데, 이 9건 중 7건은 모두 복와위로 시행한 경우였고, 1건만이 앙와위로 시행되었다 [21]. 나머지 한 건은 복와위와 앙와위에서 모두 시행되었다. 장천공이 보고된 8건의 경우 미국 FDA에서 권고한 횟수인 4000회를 초과하여 시행하였다고 기술하였다 [21].
3. 결론
하부요관결석 환자에서 앙와위를 통한 경둔근 접근법 체외충격파쇄석술은 안전하고 효과적인 방법으로 알려져 있다. 앙와위에서 충격파 발전기를 수직방향에서 40° 각도로 유지하여 엉덩이에 밀착시켜 시행하는 방법으로, 대둔근을 통해 대좌골공으로 충격파를 전달하여 감쇄를 최소화한다. 또한 장을 통하지 않기 때문에 장천공 같은 심각한 합병증의 위험이 거의 없다. 그리고 편안히 누운 자세에서 시행하기 때문에 전통적인 복와위 방법에 비해 불편감을 덜 느끼게 되고 환자들의 만족감 또한 높은 것으로 보고되고 있다. 특히 비만하거나 고령인 환자에서 적극적으로 고려할 수 있는 시술 방법이다.




