1. Case
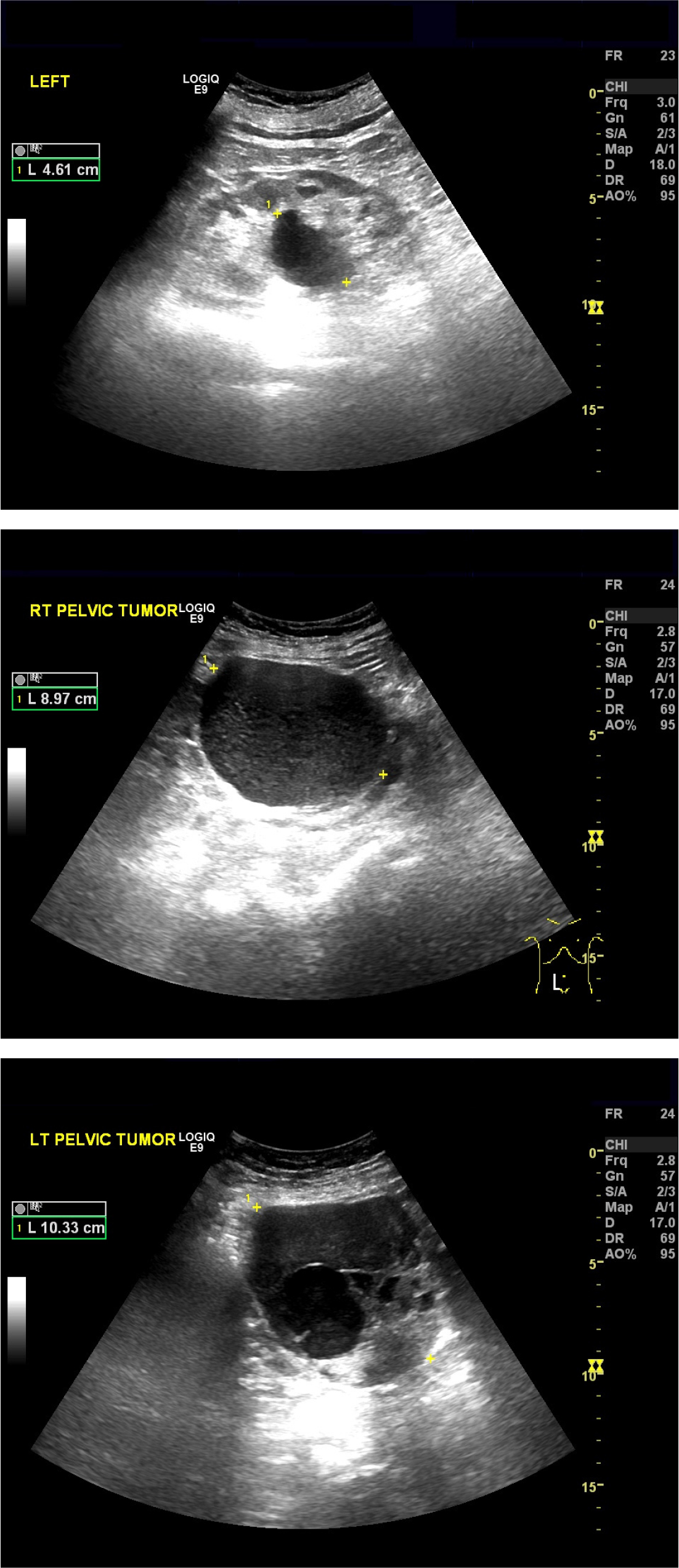
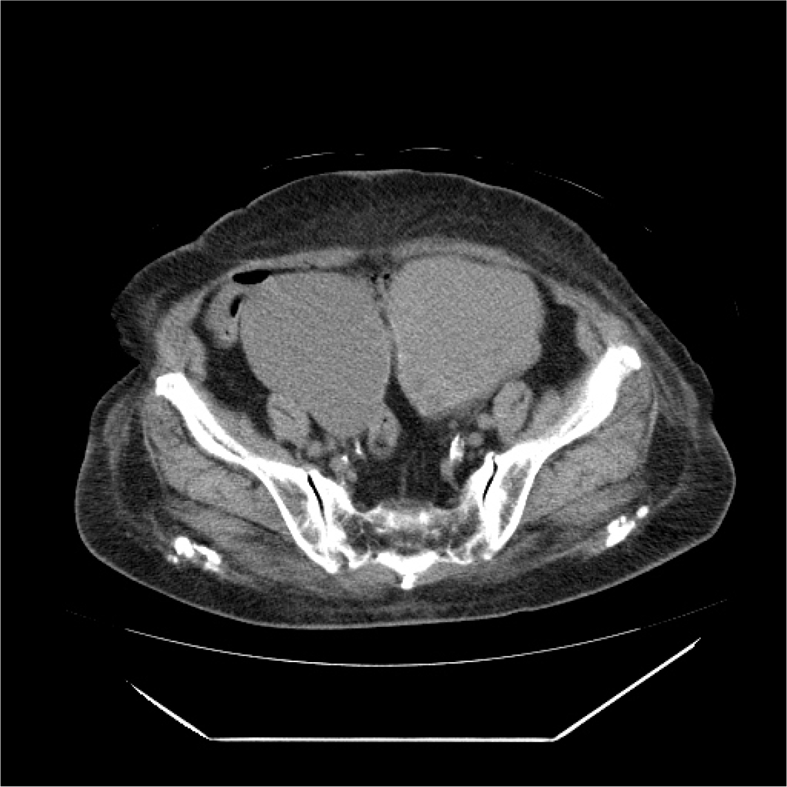
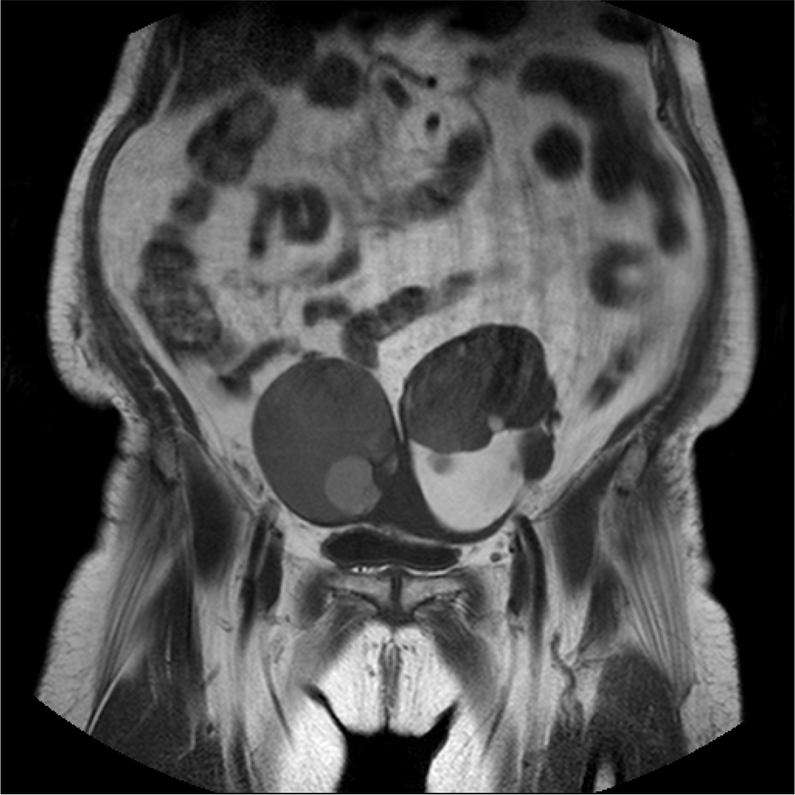
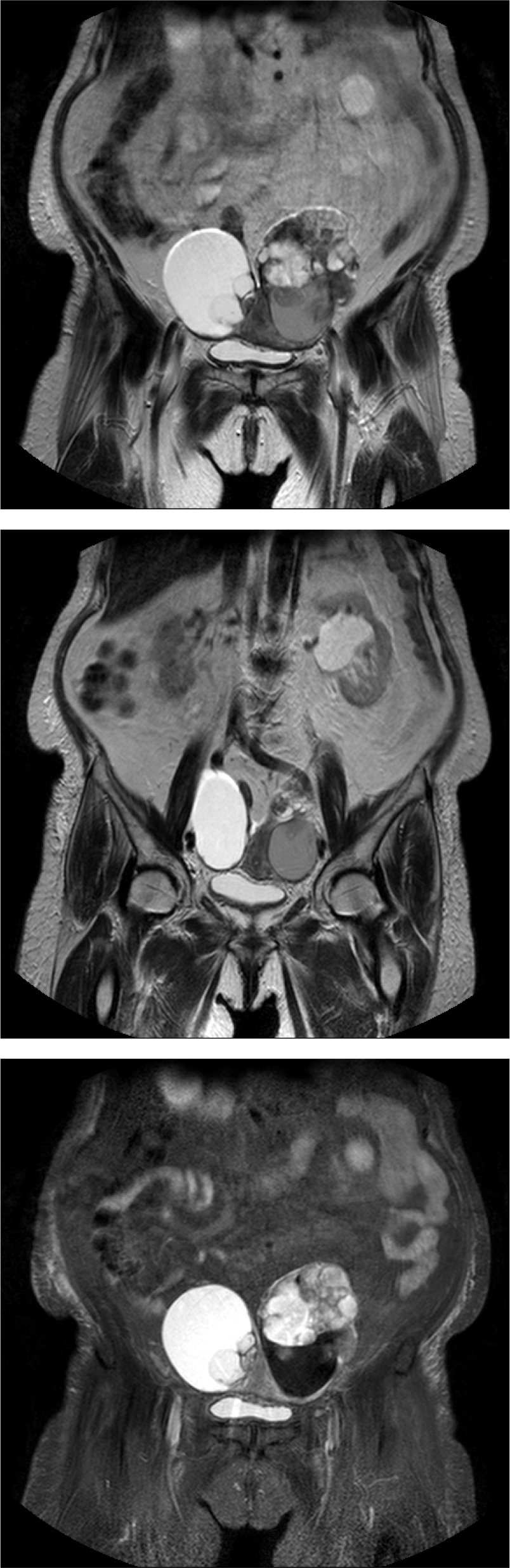
86세의 여성이 배뇨 곤란이 갑자기 심해져서 내원하였다. 환자는 20년 전 요실금 수술을 받은 병력이 있다. 3년 전부터 본원에서 야간뇨와 급박뇨를 치료받던 중 외래 추적 소실 후 3개월 만에 갑자기 발생한 배뇨 곤란 증세로 내원하였다. 신체 검사에서 하복부팽만 및 전신부종소견이 있었다. 초음파검사에서 왼쪽 난소 heterogenous density solid and cystic tumor, 오른쪽 난소에 large cystic tumor 소견이 관찰되었다. 골반 CT를 시행하였고 both ovaries malignancy Krukenberg tumors, 10 cm in each sides secondary stomach tumor 소견이 관찰되었다. 환자는 대학병원으로 전원되었으나 3개월후 사망하였다.
2. Comment
크루켄버그 종양(Krukenberg tumor)은 대개 소화기관에서 기원한 종양이 난소로 전이되는 난소의 전이성 종양으로, 전체 난소 종양의 1∼3%정도를 차지하는 것으로 알려져 있다. 본 케이스는 소화기관, 위암이 난소로 전이된 상태였다. 크루켄버그 종양은 점액 변성과 반지세포(signet ring cell)가 특징적이고 대부분 양쪽 난소 모두 침범된다. 원발암이 진행된 다음에 발견되기 때문에(위암 4기) 크루켄버그 종양이 발견된 지 약 1년 이내에 대부분의 환자가 사망한다. 크루켄버그 종양은 산부인과에서도 희귀한 증례이며, 특히 본 증례는 배뇨증상이 환자의 주 호소 증상이었던 크루켄버그 종양이라는 점에서 의의를 찾을 수 있다.





